Tongue Cancer

Tongue cancer is one of the most common forms of oral cancer that begins in the cells of the tongue. Early symptoms may include a persistent ulcer, pain, or difficulty in swallowing or speaking. With timely diagnosis and advanced surgical care, tongue cancer can be effectively treated. Tongue cancer often begins as a small ulcer or patch that doesn’t heal. Faith Hospital, we specialize in precise diagnosis, advanced surgical techniques, and complete rehabilitation — helping patients regain confidence, speech, and quality of life.

Lip Cancer

Lip Cancer is a type of oral cancer that often begins as a small sore, crack, or patch on the lips — especially in people with high sun exposure or tobacco habits. Faith Hospital, patients receive expert diagnosis, advanced surgical care, and complete rehabilitation for both function and appearance. Typical warning signs include bleeding sores, pain, or thickened patches on the lips that don’t heal with regular medication. The lips are one of the most exposed and sensitive areas of the face, making them more vulnerable to cancer — especially in people who smoke, chew tobacco, or have high sun exposure.

Cheek Cancer

Cheek cancer is a type of oral cancer that develops in the inner lining of the cheeks, often starting as a small ulcer, white patch, or thickened area inside the mouth. In many cases, it’s caused by habits such as tobacco chewing, smoking, or alcohol use — but it can also occur without these risk factors. Early detection plays a vital role in successful treatment. Faith Hospital, every patient receives advanced diagnostic evaluation and precise surgical care designed to remove the cancer while preserving facial appearance, speech, and eating functions. Many people ignore small mouth ulcers thinking they will heal on their own — but when a sore inside the cheek doesn’t heal for weeks, it may be an early sign of cancer.

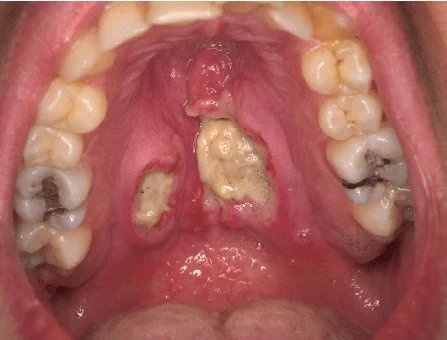
Palate Cancer

Palate cancer develops on the roof of the mouth — either the hard palate (front portion) or the soft palate (towards the throat). It may begin as a small sore, ulcer, or patch that does not heal and can later cause pain, bleeding, or difficulty in swallowing. Because the palate is involved in speaking and eating, even small changes can affect daily life. Faith Hospital, patients receive specialized treatment that focuses on removing the cancer completely while preserving essential functions like speech, swallowing, and appearance. Dr. Zuber Vaja, a skilled Head & Neck Cancer Surgeon, offers precise surgical care along with reconstructive procedures that help patients return to normal life — with confidence and comfort.

Jaws Cancer

Cheek cancer is a type of oral cancer that develops in the inner lining of the cheeks, often starting as a small ulcer, white patch, or thickened area inside the mouth. Early detection plays a vital role in successful treatment. Faith Hospital, every patient receives advanced diagnostic evaluation and precise surgical care designed to remove the cancer while preserving facial appearance, speech, and eating functions. Many people ignore small mouth ulcers thinking they will heal on their own — but when a sore inside the cheek doesn’t heal for weeks, it may be an early sign of cancer.